The AAOS Shoulder & Elbow Registry Annual Report captures procedural data from over 400 surgeons over a 7-year period.
Of the nearly 13,000 shoulder arthroplasties performed over a 7-year period the most were reverse total shoulder arthroplasty at 44.7%. The proportion of anatomic total shoulder arthroplasties decreased with age while that for reverse shoulder arthroplasty increased with age. The intersection age where reverse total shoulder arthroplasties equal anatomic total shoulder arthroplasties occurred at approximately 65 years of age. Revision shoulder arthroplasty occurred at a rate of approximately 6% at this age. Total shoulder arthroplasty procedures were performed 83.48% for the diagnosis of “other and unspecified osteoarthritis,” which includes primary, secondary, and post-traumatic osteoarthritis [1].
The conversation continues – what are safe age limits for both anatomic and reverse total shoulder arthroplasties without compromising clinical outcomes or increasing complication rates?
Two recent publications are relevant to this discussion. Chamberlain et al. reported on the clinical outcomes after reverse shoulder arthroplasty in patients 60 years old and younger [2]. Jensen et al. reported on anatomic total shoulder arthroplasty for primary glenohumeral osteoarthritis in the elderly [3].
KEY TAKEAWAYS |
|
| Chamberlain et al
rTSA in patients 60 years of age and younger |
Jensen et al
aTSA in the elderly |
| 89 patients
average age 54.8 56% diagnosis of CTA Mean follow up 4.9 years |
340 patients
Average age 76.2 Diagnosis of GHOA Mean follow up 3.3 years |
| Complications 12%
Reoperations 7% Notching 36% |
Complications 4.7%
Revisions 0.8% Secondary rotator cuff tears 1.3% |
|
|
These articles highlight the challenges and intricacies when faced with deciding what procedure will ultimately best serve the patient.
In addition to published literature and surgeon experience, machine learning can assist in answering such unsolved clinical questions as to which patients will have improved outcomes after shoulder arthroplasty [4].
Advita’s Active Intelligence® platform is an ecosystem of smart tools, from Predict+®, to preoperative planning and intraoperative navigation. Combined, AdvitaGPS®, the Equinoxe® Planning App and Predict+ allow surgeons the ability to augment decision-making, plan shoulder component placement and execute a personalized preoperative plan. Predict+, launched in 2021, is a data driven, clinical decision support tool. This machine learning tool uses predictive analytics to create patient-specific outcomes predictions and has resulted in over 2,500 personalized patient predictions. With over a 92% prediction accuracy for outcomes scores, this is a powerful tool to help counsel patients preoperatively [5].
The following case example highlights the features of Predict+:
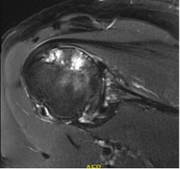
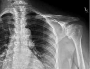
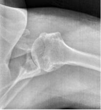
BH is a right hand dominant 70-year-old female, who is retired and moderately active. She presents with 8 months of progressively worsening left shoulder pain affecting her ADLS, sleep and recreational activities. She is 10 years s/p a right anatomic total shoulder arthroplasty. Radiographs and advanced imaging reveal glenohumeral joint advanced degenerative joint disease with an intact rotator cuff. Preoperative planning reveals a native 3 degrees of retroversion with 0 degrees of inclination. As she was extremely happy with the fully functional contralateral shoulder she has enjoyed for the past decade, she was interested in the same solution – an anatomic total shoulder arthroplasty.


At age 70 secondary rotator cuff tears following anatomic total shoulder arthroplasty must be weighed against complications and postoperative function of reverse shoulder arthroplasty [3]. Advita Predict+ was able to demonstrate comparable postoperative function, scores, pain, and complications. A decision was reached to proceed successfully with an anatomic total shoulder arthroplasty.
References:
- Shoulder & Elbow Registry (SER): 2023 Annual Report. Rosemont, IL: American Academy of Orthopedic Surgeons (AAOS), 2023
- Chamberlain, A. M., Aleem, A. W., Sefko, J. A., Steger-May, K., & Keener, J. D. (2023). Clinical outcomes after reverse shoulder arthroplasty in patients 60 years old and younger; medium-term results. JSES international, 7(2), 277-284.
- Jensen, A. R., Tangtiphaiboontana, J., Marigi, E., Mallett, K. E., Sperling, J. W., & Sanchez-Sotelo, J. (2021). Anatomic total shoulder arthroplasty for primary glenohumeral osteoarthritis is associated with excellent outcomes and low revision rates in the elderly. Journal of shoulder and elbow surgery, 30(7), S131-S139.
- Kumar, V., Roche, C., Overman, S., Simovitch, R., Flurin, P. H., Wright, T., … & Teredesai, A. (2020). What is the accuracy of three different machine learning techniques to predict clinical outcomes after shoulder arthroplasty?. Clinical orthopedics and related research, 478(10).
- Kumar, V., Roche, C., Overman, S., Simovitch, R., Flurin, P. H., Wright, T., … & Teredesai, A. (2021). Using machine learning to predict clinical outcomes after shoulder arthroplasty with a minimal feature set. Journal of shoulder and elbow surgery, 30(5), e225-e236.
- Raji, Y., Strony, J. T., Moon, T. J., Smith, K. L., Sivasundaram, L., Renko, N., … & Gillespie, R. J. (2023). Patients who have undergone total shoulder arthroplasty prefer greater surgeon involvement in shared decision making. Journal of Shoulder and Elbow Surgery, 32(3), 645-652.
Predict+ has not received FDA marketing authorization










