Case Report #1
John Aldridge, MD
Hampton Roads Orthopedics and Sports Medicine
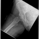
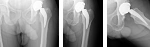
A 67-year-old Caucasian female weighing 190lbs diagnosed with osteo/degenerative arthritis received Advita’s Alteon® Neck Preserving Stem with a Biolox®delta femoral head and Novation® Crown Cup acetabular shell. The patient went under general anesthesia using a direct anterior surgical approach with an incision size of 10cm. There was an estimated blood loss of 150cc and surgery duration was 41 minutes. The patient was discharged after one day postoperative with a walker to in-home care for rehabilitation.
Pre-Op AP Pelvis
Harris Hip Score 37 (max=100) | Oxford Hip Score 19 (max=48)

6-Week Post-Op
Harris Hip Score 98 (max=100) | Oxford Hip Score N/A



3-Month Post-Op
Harris Hip Score 94 (max=100) | Oxford Hip Score 43 (max=48)



1-Year Post-Op
Harris Hip Score 100 (max=100) | Oxford Hip Score 48 (max=48)

CONCLUSION
Before surgery, this patient presented low Harris Hip and Oxford Hip scores. Once she reached her one-year follow up, her scores increased by more than 63.0 percent on the Harris Hip and 60.4 percent on the Oxford Hip. The patient is satisfied with her total hip replacement with the direct anterior approach, which has been associated with faster functional recovery than the posterolateral approach. The outcomes of her surgery continue to be followed annually. •
Case Report #2
John Aldridge, MD
Hampton Roads Orthopedics and Sports Medicine
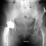
A 62-year-old African American male weighing 185lbs diagnosed with osteo/degenerative arthritis received Advita’s Alte on Neck Preserving stem with a Biolox® delta femoral head and InteGrip® acetabular shell. The patient underwent general anesthesia using a direct anterior surgical approach with an incision size of 9cm. There was an estimated blood loss of 200cc and surgery duration was 30minutes. The patient was discharged the same day as the operation with a walker to in home care for rehabilitation.
Pre-Op AP Pelvis
Harris Hip Score 48 (max=100) | Oxford Hip Score 19 (max=48)

6-Week Post-Op
Harris Hip Score 96 (max=100) | Oxford Hip Score 38 (max=48)

3-Month Post-Op
Harris Hip Score 89 (max=100) | Oxford Hip Score 44 (max=48)

1-Year Post-Op
Harris Hip Score 96 (max=100) | Oxford Hip Score 46 (max=48)

CONCLUSION
This patient presented with low Harris Hip and Oxford Hip scores before his total hip replacement. The direct anterior approach, which was used in this surgery, has been associated with faster functional recovery than the posterolateral approach. One year after surgery, his Harris Hip score increased by more than 50.0 percent, and his Oxford Hip score increased by more than 58.7 percent. The outcomes of his surgery continue to be followed each year, and the patient is satisfied with his total hip replacement. •
Case Report #3
Scott Dunitz, MD
Tulsa Bone and Joint Associates
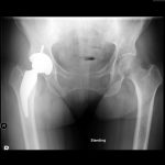
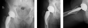
A 63-year-old Caucasian female weighing 244lbs diagnosed with osteo/degenerative arthritis received Advita’s Alteon Neck Preserving stem with a Bioloxdelta femoral head and InteGrip acetabular shell. The patient went under spinal anesthesia using a direct anterior surgical approach with an incision size of 9cm. There was an estimated blood loss of 200cc and surgery duration was 80 minutes. The patient was discharged after one day postoperative with a walker to in home care for rehabilitation.
Pre-Op AP Pelvis
Harris Hip Score 31 (max=100) | Oxford Hip Score 9 (max=48)

6-Week Post-Op
Harris Hip Score 68 (max=100) | Oxford Hip Score 38 (max=48)

3-Month Post-Op
Harris Hip Score 84 (max=100) | Oxford Hip Score 37 (max=48)

1-Year Post-Op
Harris Hip Score 100 (max=100) | Oxford Hip Score 46 (max=48)

CONCLUSION
Pre-op, this patient presented with low Harris Hip and Oxford Hip scores. The direct anterior approach used in her surgery has been associated with faster functional recover than the posterolateral approach, and one-year post-op, her scores increased by more than 69.0 percent on the Harris Hip and 80.4 percent on the Oxford Hip. The patient is satisfied with her total hip replacement, and her surgical outcomes continue to be followed on an annual basis. •
Case Report #4
Scott Dunitz, MD
Tulsa Bone and Joint Associates
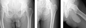
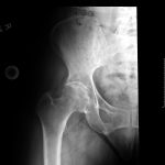
A 59-year-old Caucasian male weighing 192lbs diagnosed with osteo/degenerative arthritis received Advita’s Alteon Neck Preserving stem with a Bioloxdelta femoral head and InteGrip acetabular shell. The patient went under spinal anesthesia using a direct anterior surgical approach with an incision size of 9cm. There was an estimated blood loss of 200cc, and surgery duration was 63 minutes. The patient was discharged after one day postoperative with a walker to in home care for rehabilitation.
Pre-Op AP Pelvis
Harris Hip Score 60 (max=100) | Oxford Hip Score 25 (max=48)

6-Week Post-Op
Harris Hip Score 96 (max=100) | Oxford Hip Score 42 (max=48)

3-Month Post-Op
Harris Hip Score 96 (max=100) | Oxford Hip Score 37 (max=48)

1-Year Post-Op
Harris Hip Score 97 (max=100) | Oxford Hip Score 44 (max=48)

CONCLUSION
Previous to his total hip replacement, this patient presented with low Harris Hip and Oxford Hip scores. The outcomes of this case continue to be followed annually, and this patient is satisfied with his hip replacement. One year after his surgery, his scores increased by more than 38.1 percent on the Harris Hip and 43.2 percent on the Oxford Hip. The direct anterior approach used in this surgery has been associated with faster functional recovery than the posterolateral approach. •
Radiographs are captured and evaluated by an independent reviewer.


